ホワイトニング
ライフスタイルに合わせた4種類のホワイトニング

当院のホワイトニングは、①低価格 ②素早い効果 ③長持ち ④ご自宅で ⑤低刺激などの特長を取り揃えており、この中から患者さまのご希望やご予算に合わせて最適なホワイトニングをご提案させていただきます。
ホームホワイトニング
ホームホワイトニングは専用のマウスピースにホワイトニングジェルを塗り、それを数時間装着するタイプのホワイトニングです。
ご自宅でセルフで行う手軽なホワイトニングです。
こんな方にオススメ!
・忙しくて通院できない、したくない方
・白くなるまでに2週間程度かかっても良い方
| メリット | ・歯に与えるダメージが少ない ・色が後戻りしにくい ・オフィスホワイトニングよりも低価格 |
| デメリット | ・歯が白くなるまで時間がかかる ・自分で行うため手間がかかる |
ホームホワイトニングの手順
-
診断とカウンセリング
自宅でホワイトニングを行って頂く前に、初めに歯科医院にて準備が必要になります。患者様の現在のお口の診断を行い病気などの羅患がないかを確認します。カウンセリングを通して治療費用の説明や現在の歯の色などをチェックします。さらにホワイトニングの効果をあげる為に歯面清掃をします。※診断で病気が発見された場合には初期治療を優先して行います。
-
トレーの作製・治療説明
ホワイトニングに必要な個人専用のマウストレーを作製するため、型を取ります。後日完成した専用トレーの使用感を確認していただきながら、ホワイトニングの方法など丁寧に説明させて頂きます。
-
自宅で治療開始
作製した専用のトレーにホワイトニングジェルを入れ、口に装着して頂き歯面全体に馴染ませます。この時ホームホワイトニングが初めての方は違和感を感じる事があるかもしれませんがすぐに慣れますのでご安心下さい。1日約2~8時間を目安に行って頂き、時間経過後はトレーを外してからうがいと歯磨きをして終わりとなります。この流れを2週間続けて頂きます。
オフィスホワイトニング
オフィスホワイトニングは歯科医院にて専用のジェルと器械を使用して行うホワイトニングです。
数回の通院で白くなるため、ホワイトニングに比べて白くなるまでの期間が短く、急いで歯を白くしたい方にオススメです。
こんな方にオススメ!
・早く歯を白くしたい方
・自宅でホワイトニングを行うのが面倒な方
| メリット | ・短期間で歯を白く出来る ・自分で行う手間がない |
| デメリット | ・一度で希望の白さにならない場合には数回通院する必要がある ・後戻りが起こりやすい |
オフィスホワイトニングで歯の着色・黄ばみを改善した症例
こちらの患者さまは、歯の黄ばみ・着色を改善したいとのことでオフィスホワイトニングを受けに来院されました。
クリーニングの実施
ホワイトニングの効果を高めるため、まずは歯の表面の汚れを取り除きます。
シェードの確認
歯肉保護剤塗布
歯肉にホワイトニングジェルがつかないように保護します。
ホワイトニングジェル塗布
ホワイトニングジェルを歯面に塗ります。
照射
9分間の照射を複数回繰り返します。
ホワイトニングジェル除去
照射が終わった後、ホワイトニングジェルを拭き取ります。
ホワイトニング後のシェード確認・治療完了
| 年齢・性別 | 20代 女性 |
| 治療期間 | 1日 |
| 治療回数 | 1回(90分) |
| 治療費 | 28,600円(税込) |
| リスク・注意点 | ●禁忌(妊娠中の方・授乳中の方)
・ホワイトニングの効果には個人差があります。 |
デュアルホワイトニング
デュアルホワイトニングは、ホームホワイトニングとオフィスホワイトニングを両方行う方法です。
もっとも白くなり、後戻りしづらく、短期間で白い歯を手に入れることができます。
こんな方にオススメ!
・いますぐにでも歯を白くしたい方
・ウェディング前で急いでいる方
・希望白さの度合いが高い方
| メリット | ・最も短期間で効果的に歯を白くすることが出来る |
| デメリット | ・費用が最も多くかかる |
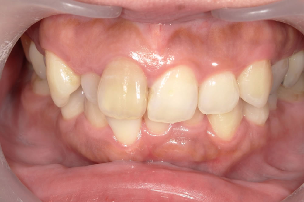
ウォーキングブリーチで神経のない歯の変色を改善した症例
こちらの患者さまは、過去に神経の治療を行った右上前歯の変色を改善したいとの主訴で来院されました。
初診時の状態
ウォーキングブリーチの実施
治療完了
| 年齢・性別 | 40代 女性 |
| 治療期間 | 2週間 |
| 治療回数 | 2回 |
| 治療費 | 1回目 11,000円(税込) 2回目 5,500円(税込) |
| リスク・注意点 | ・元々の変色度合いにより、効果が個人差があります。 ・症例によっては、あまり変化が見られないこともあります |
ウォーキングブリーチ

ウォーキングブリーチは、歯の神経を取ったり、何らかの原因で神経が死んでしまっており、歯自身が黒ずんでしまっている状態に効果的な歯の内部から白くするホワイトニングです。ホワイトニングではなくセラミックの被せ物を行う場合もあります。
ウォーキングブリーチはこんな方にオススメ!
- 歯の神経が死んでしまっていて歯そのものが黒ずんでいる方
- セラミックの被せ物をしたくない方
ホワイトニングを避けた方が良いケース
ホワイトニングは基本的には誰でもできますが、ホワイトニングの効果が期待できない状態や、ホワイトニング剤による副作用の可能性のある場合はできません。
虫歯やひび割れがある歯
ホワイトニングを行なう前にそれらの治療が必要です(悪化する可能性があるため)。
歯周病がある場合
ホワイトニングを行なう前に歯周病の治療が必要です(悪化する可能性があるため)。
つめ物やかぶせ物の変色
人工歯はホワイトニングでは白くすることは出来ません。インレーやクラウンを交換する方法で歯を白くする必要があります。
妊娠中の妊婦さん
ホワイトニングによる問題などはありませんが、大丈夫だというデータもないので妊娠中はホワイトニングを行いません。どうしても歯を白くしたい場合には、一時的ですが、歯のマニキュアが良いでしょう。
その他
- 歯の変色が非常に強い場合
- 金属による歯の変色
- 歯の神経(歯髄)が死んでいる歯
ホワイトニング前には検査、歯のクリーニングが必要
ホワイトニングを行う前には歯や歯ぐきがホワイトニングに耐えられるか歯の表面や歯周病の検査を行います。
また、歯面に歯垢が付着している場合や歯石がたまっている場合にはホワイトニングの効果が低くなるためにホワイトニング前には歯のクリーニングを行う必要があります。
ホワイトニングに関するQ&A
Q. ホワイトニングを行なうと歯はどれくらい白くなりますか
ホワイトニングの効果には人それぞれ差があるため、一概にもここまで白くなるとは言い切れませんが、目安としては一度の施術で4段階程白くなると言われています。グレーっぽい色味の歯にはそこまでの効果がでない事もあるので注意が必要です。
Q. 人工の歯もホワイトニング可能ですか?
薬剤で行うホワイトニングでは差し歯などの人工歯には効果がありません。神経のある天然の歯に限り効果が期待出来る方法となります。人工の歯を白くする場合には審美治療などをおすすめしています。
Q. ホワイトニングは口腔内環境に悪影響はありますか?
当院で行なうホワイトニング全般とホームホワイトニングの為にお渡しする薬剤に関しては、用法用量をしっかり守ってご使用頂ければ口腔内環境に被害が及ぶような事はありません。インターネットなどで販売されているホワイトニング用の薬剤は期限が過ぎている事などがごく稀にございますので注意が必要です。可能であれば歯科医院での施術をおすすめ致します。
江戸川区船堀でホワイトニングを受けたい方へ

当院では、さまざまなホワイトニングのメニューをご用意しており、患者様のライフスタイルに合ったホワイトニングをご提案させて頂きます。江戸川区近郊でホワイトニングをご検討中の方はファミリア歯科をぜひご利用下さい。























