虫歯の治療・ケア
抜かない・削らない「ファミリア歯科式むし歯治療」

ファミリア歯科の虫歯治療は、「①痛みの緩和治療 ②できるだけ抜かない ③極力削らない」という3つの軸を基本とし、天然歯を可能な限り保存し、患者様の負担を抑えるむし歯治療を行なっております。
①ファミリア歯科式ー痛みを抑えた虫歯治療
むし歯治療というと麻酔や削るときの痛みが恐く、歯科医院へ行く足も重くなってしまう方が多いかと思います。
そんなあなたにぜひ受けていただきたいのが「ファミリア歯科式むし歯治療です。
当院のむし歯治療には可能な限り痛みを抑えて行うためのさまざまな仕掛けがあります。
たとえば、塗るタイプの麻酔を使用することや、注射を行う際に一手間加えることで可能な限りの痛みを緩和しております。
②ファミリア歯科式ーできるだけ抜かない虫歯治療
抜歯に至る原因でもっと多いのはむし歯ではなく歯周病であることをご存知でしょうか?
歯周病は痛みがなく進行するため自覚症状がありません。
しかし虫歯ははっきりとした痛みがあるため、歯周病は放っておいてむし歯による痛みのある部分だけ治療を行うという選択をとるということは抜歯リスクを高めることにつながります。
当院では、むし歯による抜歯を回避するのは当然として歯周病の検査も合わせて行うことで将来の抜歯リスクを軽減させます。
③ファミリア歯科式ー可能なかぎり削らない虫歯治療
むし歯を削っているつもりで健康な歯を削りすぎてしまうことがあります。
これを防ぐために当院では虫歯検知液(虫歯の部分のみを赤く染める薬剤)を使用します。
天然歯を削る部分を極力少なくすることで、将来の治療の選択肢が増え、また、治療効果が長持ちしやすくなります。
虫歯の進行と治療法

- C0:歯の表面の溝に着色のみの状態で、歯科医の定期的な検査を受け、様子をみます。
- C1:エナメル質に虫歯が進行し痛みはあまりありませんが、歯面が脱灰という状態になって白っぽくなったり、着色してザラザラします。
- C2:象牙質まで虫歯が進行して穴の開いている中等度の虫歯です。冷たいものを食べたり飲んだりすると歯がしみます。このあたりで自覚症状がはっきりと出だします。
- C3:虫歯が大きな穴になって象牙質の全てに及び、歯髄(歯の神経)まで達した深い虫歯です。とても激しい痛みを感じるようになります。神経の治療(根管治療)を必要とします。
- C4:歯の根っこだけになってしまった状態です。そのまま放置すると歯髄が腐敗して、根尖性歯周炎や歯根嚢胞等の病気になってしまいます。ここまでくると残念ながら抜歯となってしまいます。抜歯後はインプラントか入れ歯の治療で噛めるようにします。
虫歯ができるしくみ~脱灰と再石灰化~
虫歯菌はお口の中にある糖を代謝するときに酸を生成します。この酸が歯質を溶かすことを「脱灰」といい、これは虫歯を作る原因となりますが、反対に「再石灰化」といって歯の表面のカルシウムを再生させる働きも同時に起こっています。
この「脱灰」と「再石灰化」が同時に行われていて、このバランスがとれていれば歯は健康です。ところが何かの原因で歯を溶かす作用が強くなり脱灰のほうへバランスが傾くと、歯の表面からカルシウム分がどんどん溶け出して虫歯が始まります。
脱灰と再石灰化のバランスが崩れる例
歯垢のpH(酸性度)は、普段は中性ですが、糖分を含むものを食べると、口の中は酸性になります。

図のように、糖分を含むものを食べる回数が増えると、口の中が酸性になっている時間が長くなり、虫歯になりやすい状態になります。特に寝る前の間食は要注意。寝ている間は唾液がほとんど出ない為、再石灰化されず、口の中が酸性のままになってしまうからです。

以上のことから、①歯垢をこまめに取り除く ②丈夫な歯質を作る ③食事の取り方を適切にする という3点を気をつけることで虫歯予防を行いましょう。
根管治療とジルコニアクラウンによる補綴治療の症例
こちらの患者さまは、以前より左下の奥歯にできものが生じ、自然に消えることを繰り返しているとの主訴で来院されました。
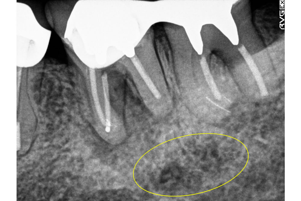
レントゲンの写真上でも歯の根の先に膿の貯留が疑われる黒い影があります。
患者さま自身も噛んだ際に違和感があるため、根管治療(歯の根の治療)を行うことになりました。
根管治療の実施
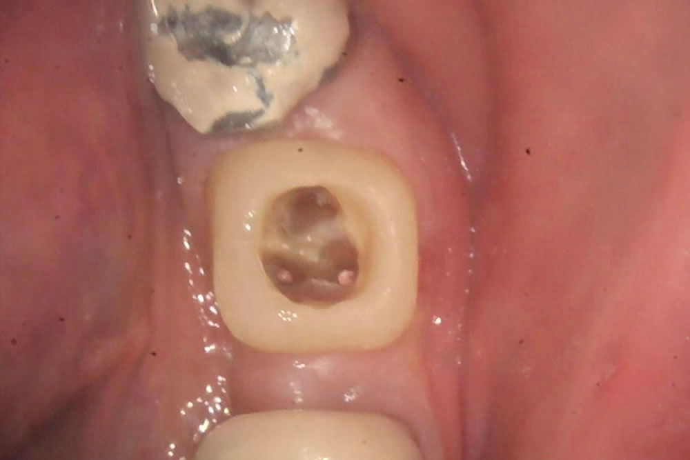
根管治療を行うためには被せ物と土台を外す必要があります。奥歯の被せ物は連結していたため切断し、被せ物と金属の土台も外していきました。
被せ物と土台を外したため、過去に根管治療を行った際のゴム状の材料が見えている状態です。
根管治療を行う際は、治療の成功率を向上させるためにプラスチックの材料で一時的に土台を作り、治療中に唾液が入らないようにします。
根管治療を繰り返し行うことで根の先の膿を取り除き、汚染された根管内を清掃・消毒していきます。
根管治療は最終的に歯の根の中にゴム状の材料を詰めます。これにより細菌が繁殖するスペースをなくし、再度の感染を防ぎます。
また、根管治療を終えた際にも再度レントゲン写真を撮り状態を確認します。歯の根の先の黒い影が以前より縮小してきていることが確認できます。
支台歯の形成
グラスファイバーの軸を挿入し、プラスチックで補強した土台を立てました。
この土台は歯と似た弾力性を持つため噛む力が分散され、歯の根が割れるリスクを減らせます。
また、金属の土台のように黒ずんできたりすることがなく、光を通しやすいため審美性に優れています。
最終的な被せ物の型取り
今回は人工ダイヤモンドとも呼ばれるジルコニアを素材とした被せ物(クラウン)で行いました。
ジルコニアは金属アレルギーの心配がなく、強度・耐久性・審美性に優れており、汚れがつきにくいため虫歯や歯周病のリスクも抑えることが出来ます。
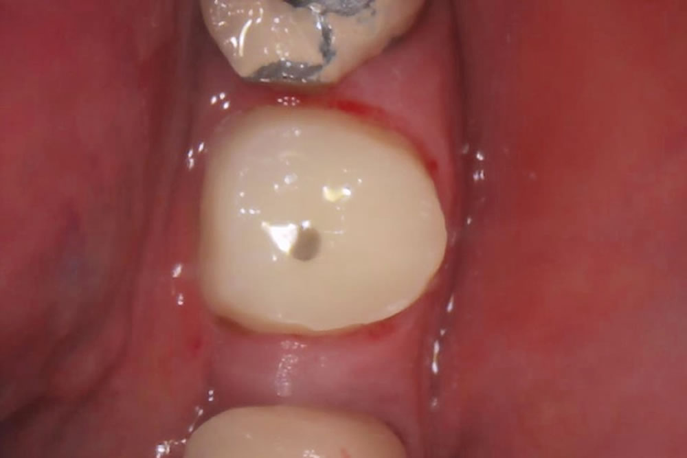
ジルコニアクラウンをセット・治療完了
歯と歯の間隔や噛み合わせを調整してから専用のセメントで接着していきます。
ジルコニアクラウンは硬いため、場合によっては実際に食事などを行ってもらった後、再度嚙み合わせの調整を行います。
| 年齢・性別 | 70代 女性 |
| 治療期間 | 4ヵ月 |
| 治療回数 | 15回(内根管治療12回) |
| 治療費 | 根管治療【保険内】 ジルコニアクラウン 93,500円(税込) |
| リスク・注意点 | ・硬すぎることで対合歯(噛み合う歯)がすり減ってしまうことがあります。 ・ジルコニアは光を通しにくいため、真っ白すぎて少し不自然と感じることがあります。 ・セット後に微調整が必要になることがあります。 ・セメントで強固に固定されているため、将来的に除去・交換する際に歯へのダメージが大きくなることがあります。 |
江戸川区で虫歯の治療をするならファミリア歯科にお任せ下さい

ファミリア歯科では、「なるべく削らない」「可能な限り抜かない」「できるだけ痛みが少ない」低侵襲を軸に治療に取り組んでいます。江戸川区近郊で身体に負担が少ない虫歯治療を受診されたい方はぜひ、当院までお気軽にお越しください。














